Sam Lucy Behle doing fieldwork
Sam Lucy Behle visits Lac Beauchêne in Quebec to study the impacts of the spiny water flea in Canada. (Credit: Sam Lucy Behle)

Visiting Student Explores the Impact of the Spiny Water Flea in Canada

Sam Lucy Behle is uncovering how a tiny invader, the spiny water flea, is reshaping Canada’s lakes

Invasive species may be small, but their impacts on Canada’s lakes can be enormous. Sam Lucy Behle, a visiting PhD student with the Global Institute for Water Security (GIWS) and events coordinator for the GIWS Students and Young Researchers, is studying the spread of the spiny water flea (Bythotrephes cederströmii) and its effects on aquatic ecosystems.

Working with Prof. Dr. Guillaume Grosbois at Université du Québec en Abitibi-Témiscamingue, Sam’s research examines how invasive species disrupt food webs, biodiversity, and consequently lake health, and what can be done to better manage their spread. Recently, she traveled to Lake Constance in southern Germany to study the spiny water flea in its native ecosystem, gaining insight into how it exists in balance there. She also shared insights from her work in The Conversation Canada, explaining how the spiny water flea has spread across the country and what actions can help limit its impact (read the article here).

To learn more, we ask Sam Lucy Behle five questions about her research on the spiny water flea and about her time at GIWS as a visiting student.

 

1. What motivated you to focus your doctoral research on invasive species, and in particular, the spiny water flea?

I've been fascinated by invasive species since my master's at the University of Münster in Germany. What strikes me is that, at their core, they are simply doing what every species does (feeding, reproducing, surviving) yet they can completely disrupt an ecosystem. It's a human-made problem for which we don't yet have a solution, and I hope my work can contribute to a better understanding of the underlying dynamics and how we might better protect our ecosystems.

Bythotrephes is particularly striking to me because of its scale of impact. It's such a tiny organism, but it can reshape entire food webs and alter the balance of lakes. That paradox - something so small having such a big influence - is both alarming and scientifically compelling.

 

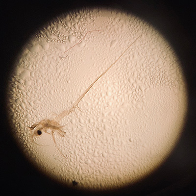
Microscopic image of the spiny water flea (Credit: Sam Lucy Behle)

2. Why is the spiny water flea such a concern for Canada’s freshwater lakes?

Bythotrephes is a major concern for Canada’s freshwater lakes because it is an invasive predator that disrupts native aquatic ecosystems. By preying heavily on small zooplankton, it reduces the abundance of species that are critical food sources for native fish, particularly juvenile and bait fish. This can alter food web dynamics, leading to declines in fish populations and shifts in nutrient cycling. Its long, barbed tail spine makes it difficult for fish to consume, giving it a competitive advantage over native zooplankton. Additionally, Bythotrephes can spread rapidly via recreational boating and fishing equipment, making containment challenging. Its presence has been linked to changes in lake clarity, productivity, and overall ecosystem health, posing ecological, economic, and recreational risks across Canadian lakes. These impacts make it a high-priority species for monitoring and management.

 

3. How has your experience as a visiting student at GIWS shaped or supported your research?

My time as a visiting student at GIWS has been really valuable for my research. Being part of such a vibrant, interdisciplinary community has broadened my perspective and allowed me to place my work in the larger context of water security. The seminars, events, and informal conversations (e.g., Water Fridays) have been especially inspiring, showing me how research on invasive species connects to bigger questions of ecosystem resilience and management.

 

4. What can people do to help prevent the spread of invasive species, and where can they learn more?

People can help prevent the spread of invasive species like Bythotrephes by following simple but effective practices. They should clean, drain, and dry boats, trailers, and fishing gear before moving between water bodies, as small organisms can "hitchhike" on equipment. Avoid releasing bait or aquarium species into the wild, and report sightings of unusual or invasive species to local authorities. Participating in citizen science programs can also help track invasions.

In Canada and North America in general, reliable information and guidance are available from organizations such as Fisheries and Oceans Canada (DFO) and provincial invasive species councils. Programs like "Stop Aquatic Hitchhikers!" and the Great Lakes Aquatic Nonindigenous Species Information System offer educational resources, prevention tips, and reporting tools for the public. For an overview of invasive species distribution as well as for reporting a sighting of an invader I recommend the interactive EDDMapS.

 

5. How do you hope your research will contribute to the future of freshwater management in Canada?

My research aims to improve the understanding and management of invasive species, specifically Bythotrephes, and its spread into boreal Canadian lakes. By analyzing its distribution, spread patterns, and impacts on zooplankton and food webs, my work provides data-driven insights into which lakes are most vulnerable and which ecological processes are most affected. This can help managers prioritize monitoring, early detection, and containment efforts. Additionally, my predictive modeling of spread under different environmental and human-use scenarios offers a tool for forecasting invasions and planning mitigation strategies. Ultimately, I hope my research supports evidence-based decision-making that preserves biodiversity, maintains fisheries productivity, and protects the ecological integrity of Canada’s freshwater systems.